What Is an Open Bite in Teeth? Symptoms and Fixes
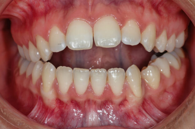
What Is an Open Bite in Teeth? Symptoms and Fixes An open bite is a bite alignment issue where some teeth don’t make contact when you close your mouth. Instead of the top and bottom teeth meeting evenly, there’s a visible gap. That gap might be in the front, in the back, or along one…














