What Is an Open Bite in Teeth? Symptoms and Fixes
An open bite is a bite alignment issue where some teeth don’t make contact when you close your mouth. Instead of the top and bottom teeth meeting evenly, there’s a visible gap. That gap might be in the front, in the back, or along one side.
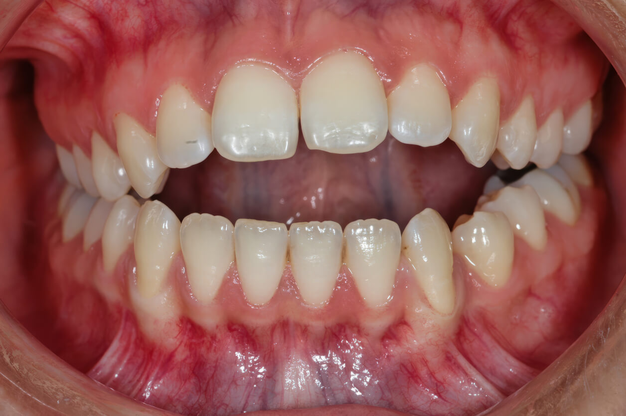
Many people first notice a tooth open bite when they realize their upper and lower teeth do not meet properly while chewing or speaking.
This matters because tooth contact helps you chew efficiently and keeps forces balanced across the teeth and jaw joints. Uneven contact can affect comfort, speech, and long-term oral health.
Quick Signs People Notice
- Front teeth don’t touch when biting into foods
- Chewing feels inefficient or tiring
- Speech sounds feel harder to form clearly
- The mouth tends to stay slightly open at rest
- Jaw soreness or jaw pain after long chewing (in some cases)
Types of Open Bite
Most open bite cases fall into one of several patterns. Identifying the type helps providers understand how the bite developed and what treatment approach is most likely to work.
Anterior Open Bite
Anterior open bite happens when the upper and lower front teeth do not touch when the mouth closes, even though the back teeth may meet. This is the most noticeable type and often affects both appearance and function. People may have difficulty biting into foods like sandwiches or apples, and speech can sometimes be affected.
It is commonly linked to oral habits during childhood, such as thumb sucking, pacifier use, or tongue thrusting, but jaw growth patterns can also contribute.
Posterior Open Bite
Posterior open bite occurs when the back teeth do not touch during biting, even if the front teeth appear to meet. Because these teeth help grind food, this type can make chewing less efficient, leading to uneven tooth wear or muscle fatigue. It is less common and is often associated with tooth eruption issues, differences in jaw alignment, or changes in dental arch width.
Lateral Open Bite
A lateral open bite affects one side of the mouth more than the other. This can cause uneven pressure when chewing and may contribute to jaw discomfort over time. It may develop from uneven jaw growth, differences in tooth eruption, or habits that place pressure on one side of the mouth.
What Causes an Open Bite?
An open bite can occur for several reasons. In many patients, it’s a mix of genetic and environmental factors.
Oral Habits and Pressure Over Time
Repeated pressure can change how teeth erupt and how they sit in the dental arches, especially during growth.
Common contributors include:
- Thumb sucking (especially prolonged thumb sucking)
- Prolonged pacifier use or pacifier sucking that continues too long
- Tongue thrusting during swallowing or speech
- Mouth breathing, which can influence facial growth and tongue posture
These habits can place constant pressure on the front teeth or affect the development of the upper and lower jaws as the teeth are forming.
Growth Pattern and Skeletal Problems
Some people have a genetic predisposition to a longer facial growth pattern or a poor skeletal relationship between the upper and lower jaws. In these cases, the issue is less about tooth position and more about jaw structure.
A simple way to think about it:
- Dental Open Bite: Teeth are positioned poorly, but the jaw relationship is generally workable with orthodontic treatment.
- Skeletal Open Bite: The upper and lower jaws contribute to the gap, and the plan may be more complex.
Tooth Eruption and Timing
During the transition from baby teeth to permanent teeth, tooth eruption patterns can also influence how the bite settles. If teeth don’t erupt into the expected position, or if pressure from habits persists, the gap may remain into adult teeth.
Symptoms and Possible Complications
Some people begin searching for answers after noticing a tooth open bite that makes chewing or speaking feel different. Open bite teeth problems can range from mild cosmetic concerns to functional issues. It can lead to chewing inefficiency, uneven tooth wear, and strain on jaw muscles if left untreated.
Symptoms vary depending on severity and location of the bite gap and may include:
- Trouble biting or tearing certain foods
- Speech problems involving airflow and tongue placement
- Uneven pressure on back teeth or lower front teeth
- Jaw fatigue or temporomandibular joint irritation in some cases
Not every open bite causes pain, but uneven bite forces can still affect long-term oral health.
How Dentists Diagnose It
Diagnosis starts with a bite exam and usually includes imaging. A provider may evaluate:
- How the upper and lower teeth meet in the front and back
- The upper and lower jaws and how they relate
- Tooth angulation, spacing, and arch shape
- Tongue posture and soft tissues that may influence the bite
This step matters because the underlying causes drive the treatment plan.
Open Bite in Teeth Treatment Options
There isn’t one “best” fix for everyone. Treatment depends on age, severity, whether the bite issue is dental or skeletal, and what’s driving it.
Orthodontic Treatment
Orthodontic treatment is often the most common way to correct an open bite when tooth position is the main concern. Braces or clear aligners gradually move teeth into better alignment and help create proper contact between the upper and lower teeth.
In some cases, providers may use bite blocks, elastics, or specialized orthodontic techniques to guide tooth movement and improve bite balance. This approach is often effective for both children and adults, although treatment may be simpler when jaw growth is still developing.
Addressing Oral Habits and the Root Cause
If habits such as tongue thrusting, thumb sucking, or mouth breathing contribute to the problem, correcting them can improve treatment stability. Without addressing these factors, the same pressure that caused the gap may cause it to return.
Providers may recommend habit guidance, airway evaluation, or therapy that focuses on improving tongue posture and muscle function to support long-term results.
Surgery (for Certain Adult Skeletal Cases)
In some patients, an open bite develops because of jaw growth patterns rather than tooth position. When adult teeth are fully formed, and a poor skeletal relationship between the upper and lower jaws is present, surgery may be considered as part of the correction.
Jaw surgery, also called orthognathic surgery, repositions the jaws to improve alignment and bite function. This procedure is typically combined with orthodontic treatment. Braces or aligners are used before surgery to prepare the teeth and after surgery to refine the final bite position.
Surgical treatment is usually considered only when orthodontic treatment alone cannot achieve stable correction. While it is a more involved option, it can significantly improve bite function, facial balance, and long-term comfort in appropriate cases.
Can It Return After Treatment?
Yes, relapse is possible. It’s more likely when the original drivers, like tongue pressure, mouth breathing, or certain oral habits, are still present. Retainers and follow-up care are important, and outcomes can vary from person to person.
When to See a Dentist
Consider an evaluation if you notice:
- A visible gap between the upper and lower teeth when biting down
- Ongoing trouble biting or chewing
- Speech changes that don’t improve
- Jaw discomfort, especially with chewing
- Shifting tooth alignment over time
Close the Gap in Your Bite, and Feel Confident in Your Smile Again
Grant Family Dentistry is here to provide excellent dental care and help patients feel confident in their smile. With two convenient locations in Meeker and Rangely, our team can evaluate bite concerns with a clear, personalized approach. This way, you understand what’s happening, why it’s happening, and what your options are.
If you think you may have an open bite, schedule an appointment with Grant Family Dentistry. Call now to get started and take the next step toward a healthier bite and a more comfortable smile.











